L’art radiographique par la Licorne vétérinaire

Radiographie hérisson © Lingostière Clinique Vétérinaire dans l’Art Radiographique
Crâne de ouistiti © Lingostière Clinique Vétérinaire dans l’Art Radiographique

Radiographie grue cendrée © Lingostière Clinique Vétérinaire dans l’Art Radiographique
Radiographie calcul urinaire sur un iguane © Lingostière Clinique Vétérinaire dans l’Art Radiographique
Radiographie crapaud © Lingostière Clinique Vétérinaire dans l’Art Radiographique
Radiographie oeufs serpent © Lingostière Clinique Vétérinaire dans l’Art Radiographique
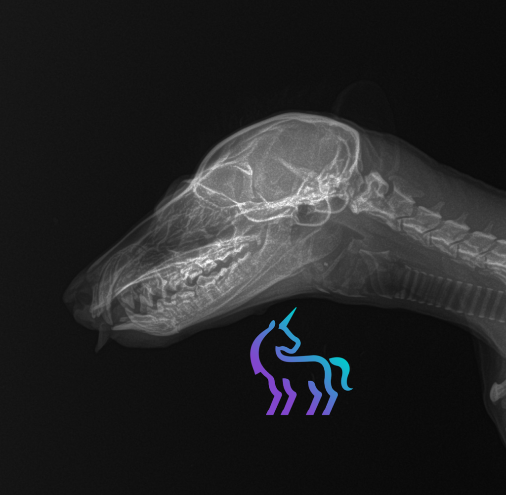
Radiographie tête de renard © Lingostière Clinique Vétérinaire dans l’Art Radiographique
Radiographie dentaire sur un Wallaby © Lingostière Clinique Vétérinaire dans l’Art Radiographique
Radiographie flamant rose © Lingostière Clinique Vétérinaire dans l’Art Radiographique
Radiographie tête de lémurien © Lingostière Clinique Vétérinaire dans l’Art Radiographique
Radiographie tortue oeufs © Lingostière Clinique vétérinaire dans l’Art Radiographique
Lingostière Clinique vétérinaire
Retour en haut