Cas clinique : furet présentant une prostration et une strangurie
Contexte et motif de consultation
Isis, furette stérilisée par implant (Suprelorin® 4,7 mg) âgée de 4,5 ans, est présentée en consultation pour un tableau aigu associant prostration et strangurie. L’implant contraceptif avait été posé trois ans auparavant. La vaccination était à jour et aucun antécédent médical notable n’était rapporté par les propriétaires.
Anamnèse
Isis était nourrie exclusivement avec des croquettes dites « sans céréales », initialement formulées pour le chien. Aucun changement alimentaire récent n’était signalé. Les propriétaires ne rapportaient ni vomissements, ni diarrhée, ni perte d’appétit préalable.
Examen clinique
À l’examen clinique, l’état général est altéré avec une légère déshydratation. La palpation abdominale caudale met en évidence :
- une gêne marquée à la manipulation,
- plusieurs masses fermes, de quelques millimètres à centimètres de diamètre,
- l’émission quasi immédiate de quelques gouttes d’urine lors de la palpation.
Le reste de l’examen clinique est sans particularité.
Hypothèses diagnostiques
Devant ce tableau, plusieurs hypothèses sont envisagées :
- calculs de l’appareil urinaire (rénaux, urétéraux, vésicaux ou urétraux),
- corps étranger,
- affection rénale (kystes, calcinoses),
- adénomégalie (notamment d’origine lymphomateuse),
- tumeur de l’appareil urinaire ou reproducteur,
- abcès calcifié de l’appareil urinaire ou reproducteur.
Examens complémentaires
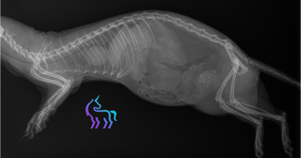
Radiographie
La radiographie abdominale met en évidence la présence de multiples calculs intravésicaux, confirmant l’origine obstructive des troubles urinaires.


Échographie abdominale
Une échographie est réalisée afin d’évaluer l’extension des lésions et l’état des reins. Les reins apparaissent sans anomalie structurelle.
Analyses sanguines
La numération-formule sanguine montre une augmentation de la concentration des globules rouges et/ou de l’hémoglobine, compatible avec un état de déshydratation. La biochimie sanguine est sans anomalie significative.
Prise en charge en urgence
Compte tenu du risque d’obstruction vésicale complète, une prise en charge en urgence est décidée :
- pose d’un cathéter,
- perfusion intraveineuse de Ringer Lactate à un débit de 5 ml/kg/h.

Une intervention chirurgicale est indiquée sans délai.
Anesthésie
Le protocole anesthésique mis en place est le suivant :
- prémédication par midazolam (0,5 mg/kg), méthadone (0,2 mg/kg) et médétomidine (50 µg/kg) par voie intramusculaire,
- induction à l’aide de propofol (1 à 2 mg/kg),
- maintien sous isoflurane.

Chirurgie
Une cystotomie par laparotomie est réalisée. L’ouverture de la vessie permet le retrait de multiples calculs urinaires. La vessie est ensuite rincée abondamment avant fermeture selon les règles chirurgicales classiques.


Soins post-opératoires
Le traitement post-opératoire comprend :
- méloxicam (0,1 mg/kg SID, voie sous-cutanée),
- amoxicilline associée à l’acide clavulanique (20 mg/kg BID),
- buprénorphine (0,02 mg/kg IV, trois fois par jour),
- poursuite de la fluidothérapie.
La reprise alimentaire est rapide, dès le réveil anesthésique, et Isis peut regagner son domicile le lendemain de l’intervention.
Analyse des calculs et évolution
Aucun ECBU n’a pu être réalisé, celui-ci ayant été refusé par les propriétaires. En revanche, l’analyse par spectroscopie infrarouge révèle des calculs constitués de cystine.
Malgré un changement alimentaire instauré après la chirurgie, Isis présente une récidive de calculs urinaires six mois plus tard, nécessitant une nouvelle intervention chirurgicale.

Discussion
Ce cas met en évidence plusieurs points essentiels :
- les calculs de cystine, bien que moins fréquents, doivent être envisagés chez le furet,
- les régimes « sans céréales », souvent riches en protéines végétales, peuvent être particulièrement riches en cystine,
- une origine génétique des calculs de cystine chez le furet est fortement suspectée.
Conclusion
La strangurie chez le furet est une urgence absolue. Une prise en charge rapide, associant imagerie, stabilisation médicale et chirurgie, permet d’améliorer significativement le pronostic. Ce cas souligne également la nécessité d’un suivi à long terme et d’une vigilance particulière face au risque de récidive, notamment lorsque des facteurs alimentaires ou génétiques sont impliqués.
Ressources & Bibliographie
Articles scientifiques (PubMed/PMC)
- * Disorders of the Urinary and Reproductive Systems in Ferrets (Di Girolamo N et al., 2020) PMC7258709. Urolithiase struvite/cystine ; obstruction urétrale mâles ; urohydropulsion, cystotomie.
- * Epidemiological evaluation of cystine urolithiasis in domestic ferrets (Nwaokorie E et al., 2013) PMID: 23547673. Prévalence cystine 16% ; localisation basse (vessie/uréthre).
- * Cystine Urolithiasis in Ferrets (Pacheco RE et al., 2020) PMID: 32327038. Chirurgie seule curative ; facteurs génétiques/inbreeding.
- * Ureteroneocystostomy for treatment of struvite urolithiasis and ureteral obstruction in a ferret (Laminette PJ et al., 2023) PMID: 37217174. Cas clinique : ureteroneocystostomie pour struvite.
Revues et sites vétérinaires spécialisés
- * Cystitis and urolithiasis in Ferrets (Vetlexicon) Consulter l’article. Struvite ou cystine ; alcalinisation bactérienne.
- * Les affections du système urinaire chez le furet (Vetopedia) Lien direct. Facteurs : déshydratation, alimentation végétale alcalinisante.
- * Urolithiasis: Diagnosing Urinary Tract Obstructions in Ferrets (Midogtest, 2021) Accès blog. Signes : strangurie, hématurie.
- * Urinary Tract ‘Stones’ in Ferrets (PetMD, 2022) Consulter PetMD. Régime protéiné animal préventif.
- * Percutaneous cystolithotomy for lower urinary tract calculi in domestic male ferrets (VetGirl) Voir l’étude. Cas de cystolithotomie percutanée.
Format Vancouver pour biblio complète :
- 1. Di Girolamo N, et al. Disorders of the Urinary and Reproductive Systems in Ferrets. Vet Clin North Am Exot Anim Pract. 2020. PMC7258709.
- 2. Nwaokorie E, et al. Epidemiol Eval Cystine Urolithiasis Ferrets. J Am Vet Med Assoc. 2013;242(8):1099-1104. PMID:23547673.
Explorer nos dossiers et actualités
