Thymome chez le lapin de compagnie
Le thymome est une tumeur médiastinale relativement fréquente chez le lapin de compagnie. Son évolution est le plus souvent lente, mais elle peut être responsable de troubles respiratoires marqués et d’exophtalmie. Plusieurs options thérapeutiques existent (chirurgie, radiothérapie, traitement médical), permettant dans certains cas des survies prolongées avec une qualité de vie satisfaisante.
Définition et épidémiologie
Le thymome est une tumeur épithéliale du thymus, généralement localisée dans le médiastin cranial. Il est constitué de cellules épithéliales thymiques associées à un contingent lymphocytaire d’importance variable.
Chez le lapin, le thymome est le plus souvent considéré comme histologiquement bénin, mais il peut se montrer localement invasif. Son principal danger réside dans la compression progressive des structures intrathoraciques (cœur, gros vaisseaux, voies respiratoires).
Dans une large série de tumeurs diagnostiquées chez les animaux de compagnie, le thymome représentait environ 2 % des tumeurs recensées chez le lapin. Les études cliniques suggèrent que, chez cette espèce, les masses médiastinales craniales sont plus fréquemment des thymomes que des lymphomes thymiques.
Physiopathologie et signes cliniques
La masse tumorale exerce un effet de compression sur les structures thoraciques, pouvant entraîner :
- une gêne respiratoire progressive,
- une intolérance à l’effort,
- un syndrome de compression de la veine cave craniale.
Chez le lapin, la compression veineuse associée au développement du sinus rétro-orbitaire explique l’apparition fréquente d’une exophtalmie bilatérale, parfois positionnelle, notamment accentuée lors de la flexion ventrale du cou.
Les signes cliniques les plus souvent rapportés sont :
- dyspnée ou respiration difficile (environ 75 % des cas),
- intolérance à l’effort,
- exophtalmie bilatérale,
- tachypnée,
- diminution de l’activité,
- amaigrissement.
Plus rarement, un épanchement pleural ou des signes neuromusculaires ont été décrits.
Démarche diagnostique
Consulter les références scientifiquesLe diagnostic repose en premier lieu sur l’imagerie médicale.
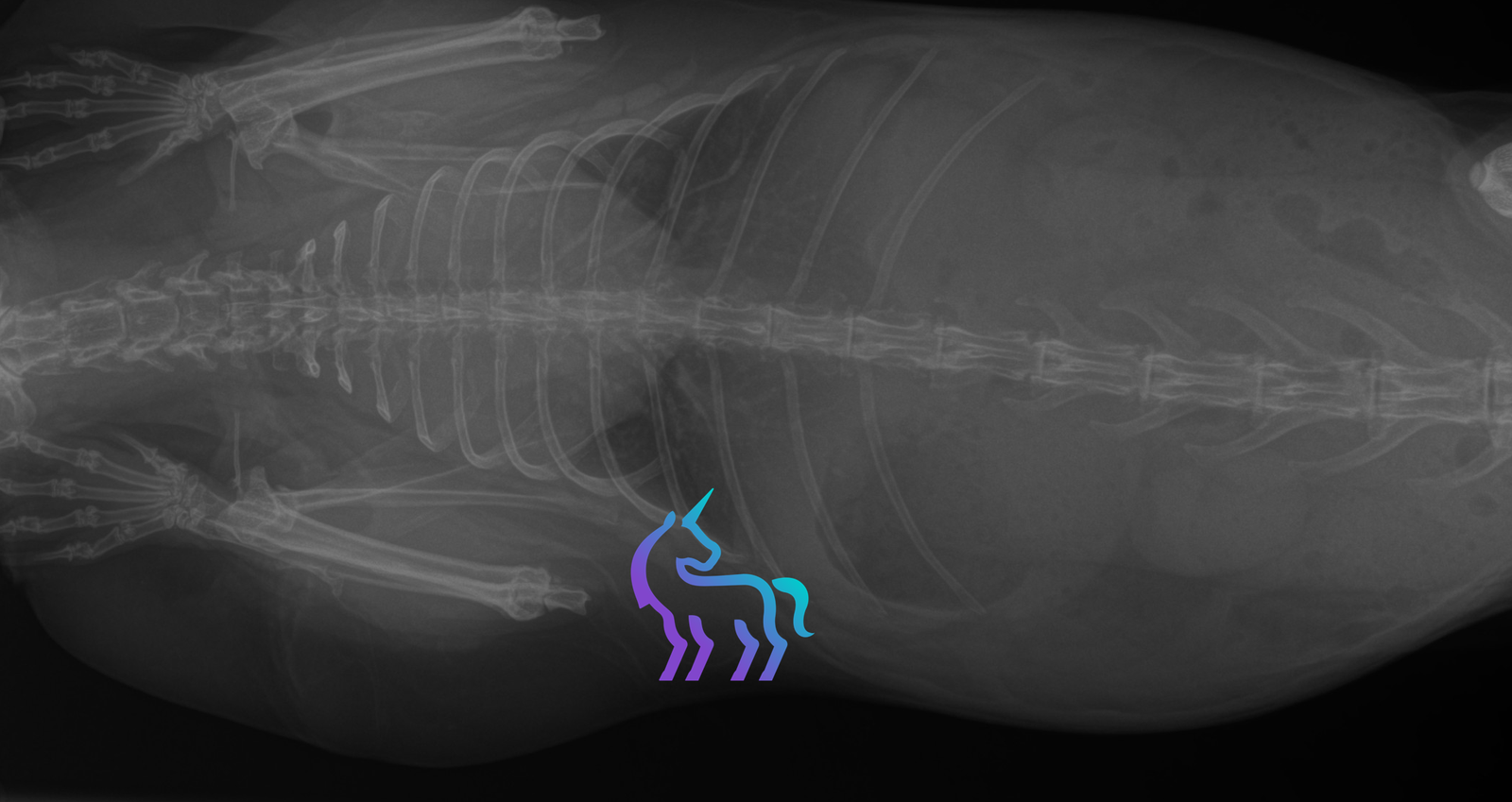
Imagerie thoracique
- Radiographies thoraciques : mise en évidence d’une masse médiastinale craniale, parfois associée à une déviation de la trachée ou à des modifications pulmonaires secondaires.
- Échographie thoracique : permet de caractériser la masse, de rechercher un épanchement pleural et de guider une ponction.
- Scanner (CT) : recommandé pour le bilan d’extension, l’évaluation des rapports anatomiques et la planification d’une chirurgie ou d’une radiothérapie.
Cytologie et histologie
La cytologie par ponction à l’aiguille fine, guidée par échographie, met en évidence des cellules épithéliales thymiques associées à des lymphocytes matures. Elle est généralement fiable pour différencier un thymome d’un lymphome.
L’histologie, lorsqu’elle est disponible, permet la classification du thymome et la confirmation de son origine épithéliale par immunohistochimie.
Options thérapeutiques
La prise en charge dépend de l’état clinique du lapin, de la taille de la masse, des moyens techniques disponibles et du risque anesthésique.
Chirurgie
La thymectomie est considérée comme l’option offrant le meilleur espoir de contrôle à long terme. Elle nécessite cependant une thoracotomie ou une sternotomie, avec un risque anesthésique et chirurgical non négligeable chez le lapin.
Certaines études rapportent des survies de plusieurs mois à plusieurs années après chirurgie, malgré un risque de mortalité périopératoire.
Radiothérapie
La radiothérapie est une alternative intéressante, notamment lorsque la chirurgie n’est pas envisageable. Des protocoles hypofractionnés ont montré une amélioration rapide des signes respiratoires et de l’exophtalmie.
Elle peut être utilisée à visée curative partielle ou palliative, avec une amélioration clinique souvent nette.
Corticothérapie
Dans ma pratique quotidienne, je suis souvent surpris par la qualité de la réponse clinique obtenue avec ce traitement. Chez certains lapins, la prednisolone permet une amélioration nette de la respiration, une régression de l’exophtalmie et, surtout, une prolongation de la survie parfois bien supérieure à ce qui est classiquement attendu.
Cette efficacité semble liée à la diminution du contingent lymphocytaire tumoral et à la réduction de l’inflammation et de l’œdème péri-tumoral, contribuant à une meilleure tolérance respiratoire et à une qualité de vie souvent satisfaisante sur plusieurs mois.
Soins de support
Lorsque aucun traitement spécifique n’est possible, une prise en charge palliative reste essentielle :
- oxygénothérapie si nécessaire,
- gestion du stress,
- analgésie adaptée,
- environnement calme et température contrôlée.
Les lapins non traités présentent en général une survie plus courte, souvent limitée à quelques mois.
Pronostic
Le pronostic dépend de plusieurs facteurs :
- taille et localisation de la masse,
- tolérance respiratoire,
- accès à une chirurgie ou à la radiothérapie,
- réponse au traitement médical,
- qualité de la gestion anesthésique.
De nombreux lapins peuvent néanmoins bénéficier de plusieurs mois, voire de plusieurs années de survie, avec une qualité de vie acceptable, lorsque le diagnostic est posé précocement et qu’un traitement adapté est mis en place.
Contenu rédigé à partir de la littérature vétérinaire internationale et des recommandations actuelles en médecine des NAC. Contenu rédigé à partir de la littérature vétérinaire internationale et des recommandations actuelles en médecine des NAC.
Références scientifiques
Les données présentées dans cette page s’appuient sur des publications vétérinaires et biomédicales de référence :
- Morrisey JK, McEntee MC. Thymoma in rabbits: clinical presentation, diagnosis, and treatment outcomes. Journal of Exotic Pet Medicine, 2012. PubMed ID: 22267174
- Banzato T et al. Thymoma in pet rabbits: imaging and pathological features. Veterinary Pathology, 2022. DOI: 10.1177/10406387221077086
- PetMD – Rabbit Thymoma and Thymic Lymphoma Revue clinique synthétique. Lien vers PetMD
- Harcourt-Brown FM et al. Exophthalmos associated with thymoma in rabbits. Laboratory Animals, 2010. Lien Nature
- Koutinas AF et al. Radiotherapy of thymoma in a rabbit. Frontiers in Veterinary Science, 2022. Lien PMC
- McEntee MC et al. Radiation therapy for thymoma in exotic mammals. Veterinary and Comparative Oncology. Lien Wiley
- Capello V, Lennox A. Cytologic and histologic features of thymoma in rabbits. CABI Digital Library.
- Quesenberry KE et al. Surgical management of thymoma in rabbits. Journal of Exotic Pet Medicine, 2005. Lien ScienceDirect
- Raiti P et al. Prednisolone treatment and survival in rabbits with thymoma. Journal of Exotic Pet Medicine, 2021. Lien ScienceDirect
- Clinician’s Brief Thymoma survival in rabbits. Consulter l’article
- Morrisey JK, McEntee MC. Rabbit thymoma: therapeutic options. House Rabbit Society. Lien PDF
