Les chromatophoromes chez les reptiles : Diagnostic et pronostic
Les chromatophoromes, bien que rarement décrits chez les reptiles, représentent un sujet sous-diagnostiqué, notamment chez les spécimens maintenus en captivité.
Ces tumeurs touchent les chromatophores, cellules spécialisées dans la production et la distribution des pigments responsables de la coloration cutanée. Elles se manifestent principalement au niveau de la peau (corps et tête), mais peuvent s’étendre à d’autres régions selon l’espèce.
Fréquence et facteurs prédisposants
Chez les reptiles en captivité, la prévalence pourrait être bien plus élevée qu’estimé. Le diagnostic repose sur l’histopathologie, ce qui en limite parfois la détection systématique.
Manifestations cliniques
Ces tumeurs se présentent généralement sous forme de masses cutanées :
- Masses pigmentées : Souvent de coloration sombre ou inhabituelle.
- Zones dépigmentées : En cas de dégénérescence des cellules pigmentaires.
- Signes systémiques : Diminution de l’appétit, léthargie ou perte de poids (souvent indicateurs de métastases).
Évolution et pronostic
La chirurgie est actuellement le seul traitement. Elle peut être curative si l’excision est précoce et localisée. Cependant, le potentiel métastatique est élevé vers les organes vitaux :
- Poumons & Cœur : Risques d’insuffisance respiratoire et cardiaque.
- Reins & Foie : Dégradation irréversible des fonctions métaboliques.
- Tube digestif : Altération de l’absorption nutritionnelle.
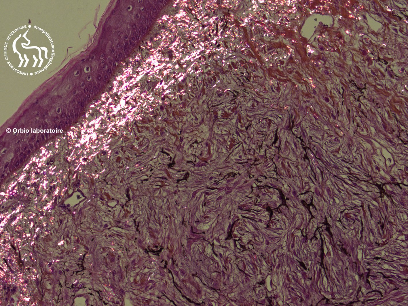
Analyse Histopathologique
Le diagnostic de certitude repose exclusivement sur l’examen microscopique des tissus prélevés.
Recherches et perspectives
Une meilleure caractérisation moléculaire et génétique de ces tumeurs est nécessaire pour identifier des marqueurs de malignité précoces. Des traitements complémentaires, tels que la radiothérapie ou la chimiothérapie ciblée, sont des voies d’avenir encore peu explorées chez les reptiles.
La détection précoce reste la clé pour améliorer les chances de survie de ces patients atypiques.
#nospatientssontlesplusbeaux
