Focus Santé – Risques et effets secondaires
À découvrir : Focus Santé – Risques et effets secondaires Pourquoi nous disons NON à l’injectable longue durée Risques d’allergies […]
À découvrir : Focus Santé – Risques et effets secondaires Pourquoi nous disons NON à l’injectable longue durée Risques d’allergies […]
À découvrir : Dentisterie – Détartrage et soins buccaux Le détartrage chez le chien et le chat Une mauvaise haleine
À découvrir : Innovation – La chirurgie par thermofusion Plus de sécurité, moins de saignements Découvrez la technologie Ligasure :
À découvrir : Éthique clinique – La prise en charge de la douleur Notre engagement contre la douleur animale Parce
À découvrir : Vidéo-otoscopie HD et imagerie des NAC Imagerie HD Une vision augmentée pour toutes les espèces Explorez nos
Information importante : Vigilance Usurpation Site Frauduleux Ce site n’est pas le nôtre. Un site utilisant notre ancienne adresse cliniquelingostiere.com
À découvrir : L’endoscopie au service du diagnostic – Cas cliniques Par le Dr P. GHISLAIN Endoscopie et Fibroscopie :
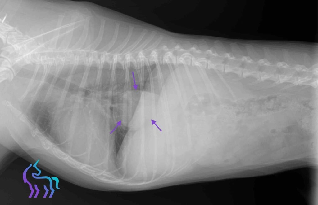
À découvrir : L’imagerie au service du diagnostic – nos cas cliniques L’Équipe des Licornes Cas cliniques en radiographie vétérinaire
À découvrir : FAQ Santé des poissons d’aquarium – Conseils vétérinaires essentiels Santé et Bien-être des Poissons : Notre FAQ
Recensement collaboratif • Épidémiologie vétérinaire • One Health Recensement des cas de leishmaniose en France : contribuer à mieux documenter