Radiographie vétérinaire : un examen clé en pratique quotidienne
Dans de très nombreux cas, elle apporte des réponses suffisantes pour poser un diagnostic, orienter un traitement ou décider de la suite des examens.
Un examen efficace, souvent suffisant
La radiographie permet de détecter fractures, corps étrangers, troubles digestifs, atteintes pulmonaires, calculs urinaires ou masses, sans chirurgie et le plus souvent sans anesthésie générale.
Elle limite ainsi les risques, le stress pour l’animal et les surcoûts inutiles.
Rapidité et aide à la décision
En situation d’urgence comme en consultation courante, la radiographie numérique offre des images immédiates, facilitant une prise de décision rapide et raisonnée, qu’il s’agisse d’un traitement médical, d’une chirurgie ou d’une simple surveillance.
Et le scanner ?
Lorsque la radiographie montre ses limites ou que la situation clinique l’exige, nous orientons vers un scanner.
Nous référons alors nos patients vers des structures spécialisées telles que :
- Centre Azurvet
- Ollioulis
- SudVetia
Partager pour mieux comprendre
Chaque image raconte une histoire clinique.
Nous avons choisi de partager ici quelques cas radiographiques réels, issus de notre pratique, pour illustrer concrètement l’intérêt de la radiographie dans la prise en charge des animaux et la réflexion médicale quotidienne.
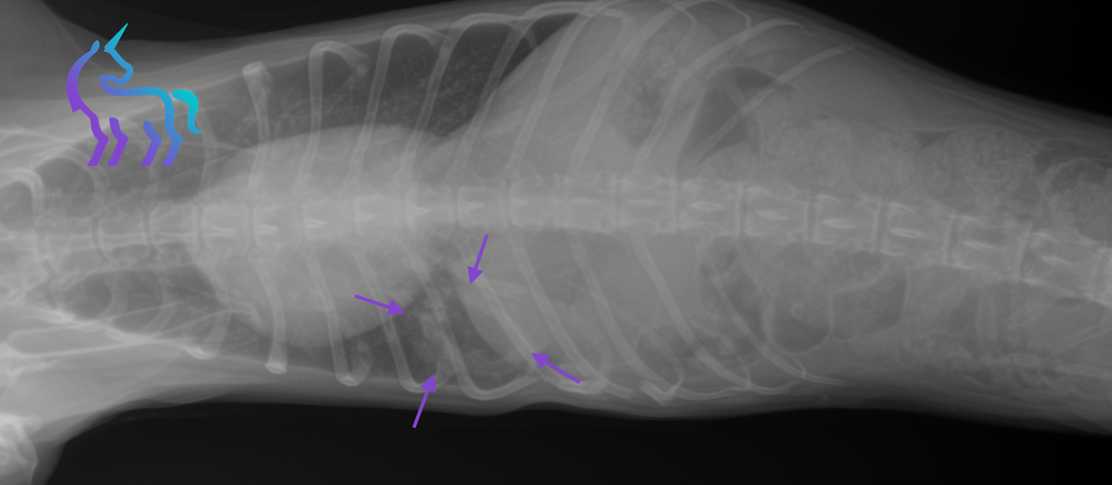
Lésion pulmonaire cavitaire du lobe caudal droit
Espèce : ChienLésion pulmonaire cavitaire du lobe caudal droit, à centre aérique, dans un contexte de morsure récente et de fractures costales associées.
L’hypothèse tumorale a été évoquée puis écartée grâce à l’analyse du contexte clinique et des caractéristiques de l’image.
Diagnostic retenu : Aspect radiographique en faveur d’un abcès pulmonaire.
Dilatation diffuse de l’œsophage (Mégaœsophage)
Espèce : ChienRadiographies thoraciques montrant une dilatation diffuse de l’œsophage, confirmée par l’examen avec produit de contraste.
Aspect compatible avec un mégaœsophage, sans anomalie cardiovasculaire associée sur ces clichés.
Diagnostic retenu : La radiographie permet ici d’objectiver le diagnostic de mégaœsophage et d’orienter la prise en charge clinique.
Identification d’une masse pulmonaire du lobe caudal droit
Espèce : ChienRadiographies thoraciques montrant une masse pulmonaire unique, bien délimitée, d’environ 5 cm, située dans le lobe pulmonaire caudal droit.
L’aspect radiographique est compatible avec un carcinome pulmonaire.
Diagnostic : La radiographie permet ici de poser un diagnostic tumoral pulmonaire et d’orienter la prise en charge.
Dissémination métastatique pulmonaire (Aspect miliaire)
Espèce : ChatRadiographies thoraciques montrant de multiples nodules pulmonaires millimétriques diffus, donnant un aspect miliaire sur l’ensemble des lobes.
L’ensemble est compatible avec des métastases pulmonaires, dans un contexte de récidive de tumeur mammaire.
Diagnostic retenu : La radiographie permet ici de poser un diagnostic de dissémination métastatique pulmonaire et de contre-indiquer la chirurgie.
Processus tumoral ostéo-articulaire du grasset droit
Espèce : ChienRadiographies du grasset droit montrant une masse ostéolytique articulaire associée à une tuméfaction des tissus mous, sans métastase pulmonaire visible au bilan thoracique.
L’aspect est compatible en priorité avec un sarcome articulaire (notamment sarcome histiocytaire).
Diagnostic retenu : La radiographie permet ici de poser un diagnostic de tumeur osseuse agressive du grasset et d’orienter la prise en charge thérapeutique.
